Invisible Expertise
Our two orthodontists, Dr. Ed and Dr. Lee know the best orthodontic experience is the result of individualized care and invisible expertise, which deliver incredible results!
Our goal is to provide the highest quality of care with the most advanced orthodontic technologies in a warm, friendly, and safe environment.
As a promise to this mission, we fabricate all of our orthodontic appliances in-house including our custom clear aligners for each specific patient utilizing the uLab system. Our team has successfully treated over 10,000 aligner cases during this time. We look forward to helping you achieve a beautiful smile.
What makes custom aligners from OSGB so special
At OSGB, we’re passionate about helping people achieve straight teeth for a healthier, happier life.
Here’s why we should be your number one choice for clear aligners.
1
Expertise
Our custom aligner treatments are supported by our top-rated orthodontic team.
2
Made in USA
Our aligners are manufactured in the USA with state-of-the-art technology from uLab systems and uDesign® 7 treatment planning software.
3
Fair prices
At OSGB we make sure to provide quality service for fair prices.
4
Premium Care
We support you throughout your journey towards a beautiful smile.
That Is How It Works!
Get your teeth straightened with custom clear aligners from uLab systems

Step 1
Book an appointment

Step 2
Get your 3D digital scan at one of our convenient locations in Green Bay and De Pere

Step 3
Get your uLab supported clear aligners specific to your personal treatment plan

Step 4
Wear your clear aligners for 20 hours every day
The advantages of clear aligners
The Clear Aligners treatment process
From the beginning straight to the end
Treatment steps:
From the beginning straight to the end
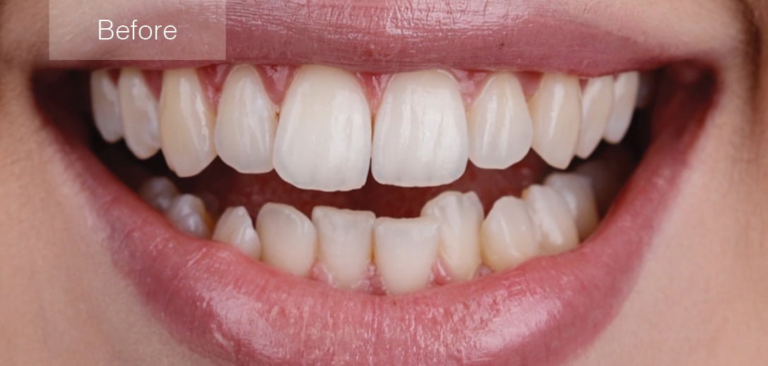
Before and After
Our patients experience world class treatment from our top-rated OSGB team. Faster and more convenient treatment through our custom aligner program creates lasting, beautiful smiles.


“uLab® has become our lab software application of choice. The power of uLab’s software is with speed in segmenting and creating a digital model. We can turn around retainers or aligners within one hour if necessary. Truly amazing!”
– Dr. Ed Lin
Do you have questions about clear aligners?
You’ll have the best treatment experience, and finish with the most incredible smile, after individual care.
We work with you to understand your desires and concerns, then develop a unique treatment plan.
We’ll walk you through the process and answer your questions because we want you to be fully involved in all parts of your smile transformation!
